Logo
  • 最新消息
  • 關於貝多芬
  • 創辦人
  • 醫師團隊
  • 矯正類型
  • 矯正諮詢
  • 分院資訊
  • 常見問題
聯絡我們
貝多芬矯正牙醫診所

最新消息

關於貝多芬

醫療團隊

創辦人

醫師團隊

齒顎矯正

矯正類型

矯正諮詢

分院資訊

常見問題

聯絡我們

Beethoven Orthodontic Center | 新竹市建功一路59巷16號 | 03-5749567

FacebookInstagram

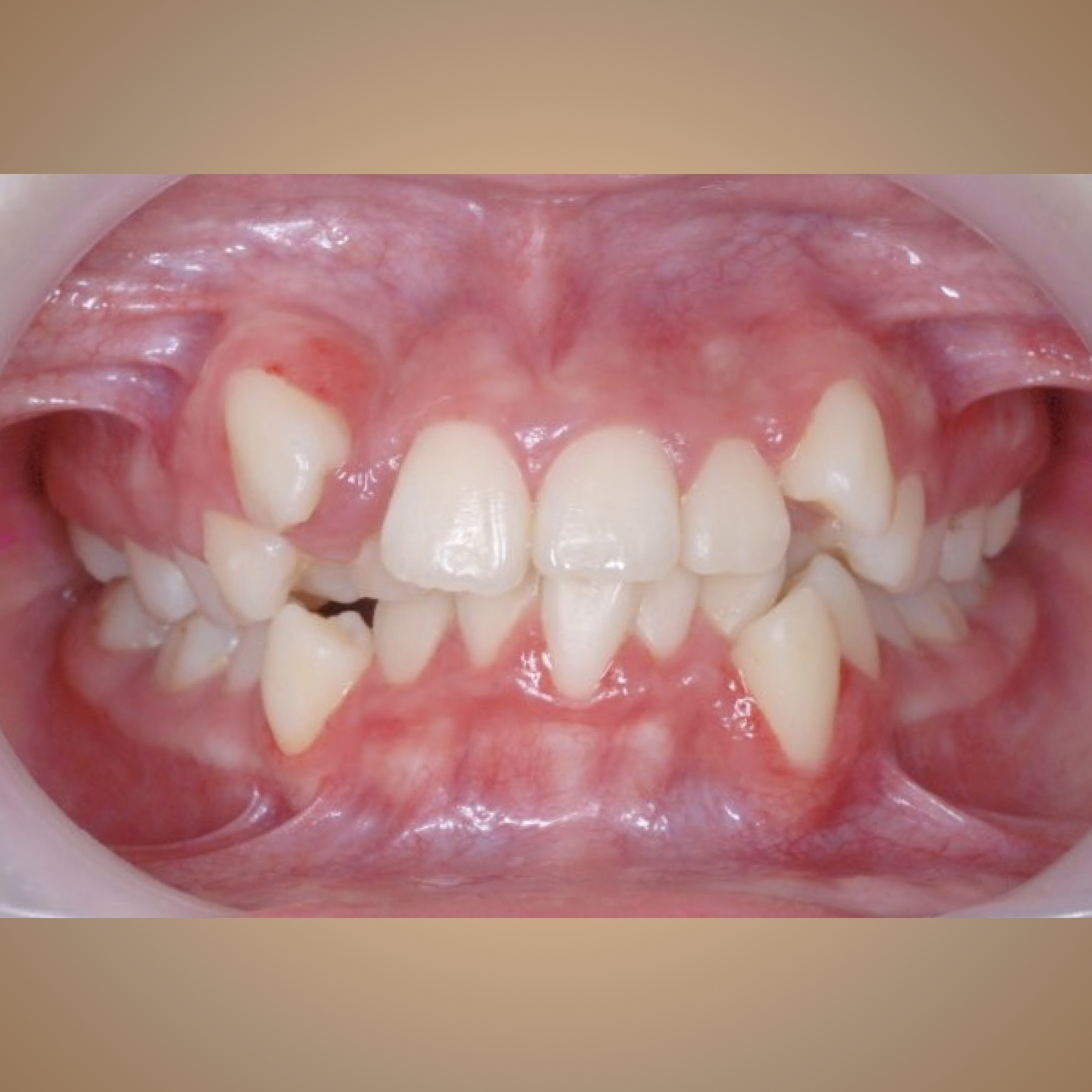
牙亂

Content type
隱形牙套
Image
Role

Marketing